Xem nhanh
Kính hiển vi điện tử truyền qua TEM - thiết bị quang học tiên tiến nhất hiện nay, hiện đang được ứng dụng rộng rãi trong nhiều lĩnh vực. Và trong phạm vi bài viết này, Máy Đo Chuyên Dụng xin được bật mí những thông tin về:
- Cấu tạo kính hiển vi điện tử truyền qua với một số bộ phận chính: nguồn phát chùm electron, hệ thống thấu kính từ, buồng chứa mẫu vật mỏng, hệ thống chân không, bộ phận hình ảnh.
- Nguyên lý hoạt động của kính hiển vi điện tử tem: dựa trên sự tương tác của chùm điện tử đến bề mặt của mẫu trong môi trường chân không.
Thông tin chi tiết mời bạn đọc theo dõi ngay bài viết dưới đây:
Kính hiển vi điện tử TEM là gì?
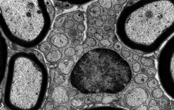
Kính hiển vi điện tử truyền qua TEM là một thiết bị hiện đại sử dụng chùm electron năng lượng cao để chiếu qua mẫu vật cực mỏng nhằm tái tạo hình ảnh chi tiết về cấu trúc bên trong. Với độ phân giải vượt trội và độ phóng đại cao, các model cho phép người dùng có thể quan sát mẫu vật ở cấp độ nguyên tử mà các loại kính hiển vi quang học thông thường không thể làm được.
Chính vì thế, đây là một trong những dòng kính hiển vi ngày càng được ưa chuộng và tin dùng. Đây là công cụ không thể thiếu trong nhiều lĩnh vực nghiên cứu khoa học như phân tích cấu trúc vật liệu ở cấp độ vi mô và nano, xác định hình thái và thành phần tinh thể, cũng như quan sát cấu trúc chi tiết của tế bào, vi khuẩn và các mẫu sinh học khác.

Kính hiển vi điện tử truyền qua được ứng dụng trong hoạt động nghiên cứu
Xem thêm: Kính hiển vi điện tử quét SEM: Cấu tạo, nguyên lý và ứng dụng
Cấu tạo của kính hiển vi điện tử truyền qua
Để có thể nắm rõ nguyên lý hoạt động, cách vận hành cũng như bảo quản thì trước tiên chúng ta cần hiểu rõ về cấu tạo của kính hiển vi điện tử truyền qua TEM. Sản phẩm được cấu tạo từ nhiều bộ phận, được sắp xếp một cách khoa học đảm bảo khả năng hoạt động ổn định, nhanh chóng và chính xác, cho ra những hình ảnh sắc nét ở cấp độ nguyên tử.
Cụ thể một số bộ phận chính của kính hiển vi điện tử TEM là:
- Nguồn phát chùm Electron: được thiết kế nằm ở đỉnh cột kính, là bộ phận tạo ra và gia tốc chùm electron có năng lượng cao.
- Hệ thống thấu kính từ:Thuộc dòng kính hiển vi điện tử nên bộ phận quan sát gồm nhiều thấu kính điện tử được sử dụng để điều chỉnh và hội tụ chùm electron. Trong đó vật kính chính là thấy kính đầu tiên, có tiêu cực ngắn, có nhiệm vụ tạo ra ảnh trung gian từ mẫu vật. Tiếp theo là đến các thấu kính trung gian và thấu kính chiếu giúp phóng đại hình ảnh trung gian của vật kính để hiển thị ra hình ảnh cuối cùng với độ phóng đại lớn.
- Buồng chứa mẫu vật:đây là nơi những mẫu vật siêu mỏng (thường dưới $100$nm) được đặt vào để chùm electron có thể xuyên qua.
- Hệ thống chân không: được đặt trong buồng chân không cao, đã được loại bỏ không khí để chùm electron có thể di chuyển qua mà không lo bị tán xạ.
- Bộ phận ghi ảnh:có nhiệm vụ giúp người dùng có thể quan sát hình ảnh cuối cùng của mẫu vật trên màn hình huỳnh quang, film quang học hoặc ghi lại bằng những thiết bị kỹ thuật số.

Một số bộ phận chính của kính hiển vi điện tử TEM
Xem thêm: Độ phóng đại của kính hiển vi và công thức tính chuẩn xác
Nguyên lý hoạt động kính hiển vi điện tử truyền qua TEM
Sau khi đã hiểu rõ về cấu tạo của kính hiển vi điện tử TEM, hãy cùng Máy Đo Chuyên Dụng đi sâu vào tìm hiểu nguyên lý hoạt động để hiểu rõ cách mà chùm electron năng lượng cao được tạo ra, truyền qua mẫu vật và chuyển đổi thành những hình ảnh sắc nét. Đầu tiên súng điện tử trong TEM sẽ phát ra một chùm electron và gia tốc chúng đến tốc độ cao.
Sau đó hệ hệ thống thấu kính điện từ sẽ hội tụ chùm electron này để tạo thành một tia mảnh, hướng thẳng đến mẫu vật đã được chuẩn bị sẵn. Khi chùm electron này đi qua mẫu, một phần sẽ được truyền qua, còn phần còn lại sẽ bị tán xạ hoặc hấp thụ lại. Và chính sự khác nhau trong cách các chùm electron tương tác với từng vùng của mẫu đã tạo nên độ tương phản trong hình ảnh thu được.

Kính hiển vi điện tử TEM hiển thị cấu trúc mẫu vật một cách rõ nét
Tiếp theo, các chùm electron gia tốc cao truyền qua được thấu kính vật thu lại và tạo thành các hình ảnh trung gian. Sau đó những hình ảnh này sẽ được phóng đại thêm bởi hệ thống các thấu kính khác.
Cuối cùng những hình ảnh phóng đại với độ sắc nét sẽ được hiển thị trên màn hình huỳnh quang hoặc camera kỹ thuật số. Từ đó sẽ cho phép người dùng có thể quan sát chi tiết và rõ ràng chi tiết cấu trúc bên trong của mẫu vật với độ phân giải cực cao.
Hy vọng những thông tin vừa được chia sẻ trên đây sẽ giúp anh em hiểu rõ về cấu tạo cũng như nguyên lý hoạt động của kính hiển vi điện tử truyền qua TEM. Để từ đó có thể lựa chọn được những thiết bị phù hợp nhất với nhu cầu sử dụng cho mỗi công việc khác nhau. Và nếu muốn tìm hiểu chi tiết hoặc mua sắm kính hiển vi chính hãng với giá thành ưu đãi thì hãy truy cập ngay Maydochuyendung.com hoặc liên hệ ngay Hotline Hà Nội: 0916.610.499 - Hồ Chí Minh: 0918.132.242 để được tư vấn chuyên sâu, báo giá ưu đãi và hỗ trợ đặt mua nhanh chóng nhất.
Sale tưng bừng mừng Đại Lễ 30/4 – Pin & sạc Bosch giảm sốc chỉ từ 500.000đ!
Top 7 kính hiển vi có màn hình LCD siêu nét, nên mua ngay
Máy đo nhiệt độ hồng ngoại loại nào tốt, đáng mua hiện nay
Top 10 súng bắn nhiệt độ Fluke bán chạy hàng đầu hiện nay
Top 5 đồng hồ vạn năng kim giá rẻ đo chính xác
Top 5 bút đo độ mặn của nước giá rẻ, loại tốt hiện nay
Máy đo độ ẩm gỗ nào tốt, đáng mua nhất hiện nay?
Top 5 máy đo khoảng cách laser 100m đáng mua hiện nay
Top 12 ampe kìm giá rẻ chất lượng bán chạy hiện nay
Kính hiển vi huỳnh quang: Cấu tạo, nguyên lý và ứng dụng





0916610499